Accidents vasculaires cérébraux
Clémence Blanc
Service des Urgences Cérébro-Vasculaires, AP-HP, Hôpital Pitié-Salpêtrière, Hôpital Saint-Antoine, Sorbonne Université,...
Sonia Alamowitch
Service des Urgences Cérébro-Vasculaires, AP-HP, Hôpital Pitié-Salpêtrière, Hôpital Saint-Antoine, Sorbonne Université,...

Liens d'intérêt : Sarah Alamowitch : participation à des symposiums et conseil scientifique pour Boehringer Ingelheim, Astra-Zeneca, Pfizer, Amgen. Investigatrice principale : Tenecteplase treatment in Ischemic Stroke (TETRIS) registry, soutien par Boehringer Ingelheim. Investigatrice principale de l'essai thérapeutique ToGiac, financement par Roche-Shugai. Présidente de la Société Française de Neurologie Vasculaire.
Depuis près de 25 ans, la thrombolyse intraveineuse par alteplase (rt-pa) s'est imposée comme la première grande révol ution thérapeutique dans l'infarctus cérébral en phase aiguë dans les 4h30 suivant l'installation des symptômes. Les cinq de rnières années ont é té marquées par des progrès considérables dans l'approche diagnostique et thérapeutique des accid ents ischémiques cérébrauxet des hémorragies intra-cérébrales.
Dans le domaine des accidents ischémiques cérébraux Prise en charge à la phase aiguë des infarctus cérébraux
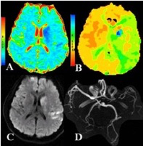
Les traitements de reperfusion à la phase aiguëont vu leurs indications considérablement élargisavec de nouvelles moda lités thérapeutiques[1] . La thrombolyse intraveineuse par alteplase a montré son efficacité jusqu' à 9h suivant l'installation des symptômes et pour les accidents ischémiques cérébraux du réveil ou d'horaire inconnue pour certains patients. Ces patients candidats à une thrombolyse intraveineuse au-delà de 4h30 sont identifiables grâce à une imagerie avancée (scanner ou IRM avec séquences de perfusion, voir figure) montrant un mismatch (différentiel entre le core ischémique et la zone hypoperfusée viable ou pénombre ischémique). Un autre thrombolytique, la tenecteplase, forme génétiquement modifiée d'alteplase, apparaît comme une alternative plus simple d'utilisation et possiblement plus efficace que l'alteplase. En cas d'accident ischémi que cérébral avec occlusion d'une artère cérébrale proximale, la thrombectomie mécanique (TM) améliore significativement le pronostic fonctio nnel pour les patients traités dans les 6 heures après le début des symptômes. La TM peut également être efficace jusqu'à 24h après les premiers symptômes chez certains patients avec mismatch. La TM apparait au vu des derniers essais également une option thérapeutique efficace pour améliorer la récupération des patients avec accident ischémique cérébral sévère étendu. La fenêtre thérapeutique des traitements de reperfusion s'est élar gie dans l'accident isché mique cérébral, mais le concept «time is brain» reste toujours aussi pertinent avec la nécessité d'organiser des filières de soins autour de l'alerte AVC. Un moyen prometteur pour administrer le traitement le plus rapidement possible repose sur des unités vasculaires mobiles (MSU «mobile stroke unit») avec un scanner embarqué dans le camion médicalisé des premiers secours permettant la réalisation immédiate de l'imagerie et l'administration de la thrombolyse intraveineuse dans le camion. Plusieurs essais comparatifs ont démontré le bénéfice des MSU pour améliorer les délais et, critère essentiel, le devenir fonctionnel des patients.
Traitement de prévention des récidives
L'arsenal thérapeutique dans la prévention des récidives d'accident ischémique cérébral s'est enrichi grâce à de nombreux essais thérapeutiques[2]. Le traitement de prévention des récidives dans les suites immédiates d'un AIT ou d'un infarctus mineur repose dorénavant dans beaucoup de situations sur une bithérapie d'antiagrégant plaquettaire (Aspirine-Clopidogrel ou Aspirine-Ticagrelor pour une durée pouvant aller de 3 semaines à 3 mois). Pour le traitement au long cours, il s'appuie sur un traitement spécifique basé sur l'identification de la cause et le contrôle de facteurs de risque. La cible de LDL Cholestérol est maintenant fixée à moins de 0,7 g/l, notamment en cas d'étiologie athéroscléreuse. Le bilan étiologique doit être exhaustif et inclure la recherche d'une anomalie du septum, avec une épreuve de bulle pour identifier un foramen ovale perméable (FOP). Il est dorénavant recommandé de proposer une fermeture du FOP chez les patients de moins de 60 ans avec AVC de moins de 6 mois), porteur d'un FOP associé à un ASIA (> 10mm) ou à un shunt droit-gauche > 20 μbulles, en l'absence d'autre étiologie possible[3].
Dans le domaine des hémorragies intra cérébrales Approche diagnostique
Les hémorragies intracérébrales, 15 % des AVC, restent associées à un pronostic très péjoratif avec 50% de décès à 1 an[4]. Plusieurs études ont montré l'intérêt d'avoir une démarche diagnostique spécifique pour identifier la maladie causale sous-jacente. Les maladies des petits vaisseaux cérébraux, avec essentiellement les maladies des perforantes profondes (lipohyalinose) et l'angiopathie amyloïde cérébrale, constituent des causes importantes associées à des risques de récidive variés en fonction de leur nature. Le recours systématique à une IRM cérébrale multimodale permet de mieux caractériser les biomarqueurs de microangiopathie cérébrale dont la nature et la topographie vont permettre d'identifier la pathologie sous-jacente : hypersignaux de la substance blanche, micro-saignements cérébraux, espaces périvasculaires dilatés, présence d'une éventuelle hémosidérose.
Perspectives thérapeutiques
À la phase aiguë, un contrôle strict de la pression artérielle et la réversion d'éventuels traitements anticoagulants ont pour objectif de réduire l'expansion de l'hématome. Plusieurs essais thérapeutiques avec des thérapies innovantes ciblant l'expansion de l'hématome et l'amélioration fonctionnelle sont en cours. Hormis le traitement spécifique d'une malformation vasculaire sous-jacente, la principale arme thérapeutique pour la prévention de récidives au long cours, repose toujours sur la maitrise stricte de la tension artérielle. Un enjeu important chez les patients ayant eu une hémorragie intracérébrale concerne la gestion des traitements antithrombotiques, antiagrégants ou anticoagulants. Ces antithrombotiques ont des indications concomitantes fréquentes, notamment à visée cardiologique, dans cette population souvent au-delà de 60 ans. Les derniers essais sont plutôt rassurants en faveur de la réintroduction des antiagrégants. En cas de FA concomitante, concernant les anticoagulants, plusieurs essais thérapeutiques sont en cours afin d'évaluer la meilleure stratégie après une hémorragie intracérébrale (arrêt des anticoagulants, poursuite d'un anticoagulant de type anticoagulant oral direct, fermeture de l'auricule gauche). En attendant d'avoir les résultats de ces essais, le choix thérapeutique doit être guidé par la maladie causale sous-jacente permettant une approche individualisée de la balance bénéfice-prévention d'un évènement thrombotique/risque de récidive hémorragique.

Figure Imagerie cérébrale multimodale en Scanner de perfusion et IRM d'un accident ischémique encours de constitution réalisé à 7 h des débuts des symptômes. Le coeur (ou core) de l'infarctus cérébral est visible en A (en bleu foncé) et C (Diffusion). Il existe une vaste zone hypoperfusée (C) dans le territoire de l'artère sylvienne G témoignant d'une zone de pénombre ischémique avec un tissu potentiellement viable. L'ARM du polygone de Willis (D) montre une interruption sur le premier segment de l'artère sylvienne gauche en rapport avec un thrombus.